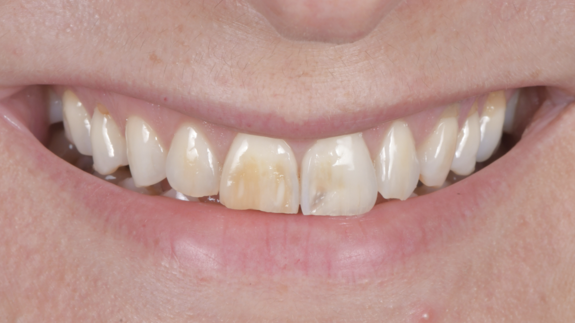
Docteur Marie CLEMENT - Esthétique du Sourire - Facettes Dentaires Dentiste

Cabinet d'Esthétique du Sourire, 8 Av. Maréchal Foch, 69006 Lyon
Voir le numéro de téléphone

Voici toutes les informations sur le Dentiste Docteur Marie CLEMENT - Esthétique du Sourire - Facettes Dentaires qui ce trouve au Cabinet d'Esthétique du Sourire, 8 Av. Maréchal Foch, 69006 Lyon (69). Sur cette fiche vous trouverez les photos, l'adresse, les horaires d'ouverture, le numero de téléphone et les avis clients.Vous pouvez églement rédiger un avis si vous le souhaitez en bas de page.

Les services :

  • ✔️ Toilettes accessibles en fauteuil roulant
  • ✔️ Toilettes
  • ✔️ Rendez-vous obligatoire
  • ✔️ Nouveaux patients

Ouvert

Horaire d'ouverture

  • Lundi 07:45–19:00
  • Mardi 07:45–19:00
  • MercrediFermé
  • Jeudi 07:45–15:00
  • Vendredi 07:45–18:00
  • Samedi Fermé
  • Dimanche Fermé

Plan d'accès :

Les avis clients (105)

4.9 sur 5.0
  • Avatar de Sylvain.o
    Sylvain.o 25/05/2024 à 13:00
    Note de : 5 / 5

    Très satisfait du résultat, gain de 5 teintes . Merci au Docteur Marie Clément pour cet éclaircissement plus que réussi !

  • Avatar de Audrey.o
    Audrey.o 13/05/2024 à 17:43
    Note de : 5 / 5

    Une équipe très professionnelle, a l’écoute. Des soins réalisé sans aucune douleur. Je suis extrêmement satisfaite du résultat Je vous recommande a 100%

  • Avatar de Samy.u
    Samy.u 13/05/2024 à 16:18
    Note de : 5 / 5

    Je recommande vivement le docteur Clément pour son expertise remarquable (blanchiment ambulatoire + technique d'érosion-infiltration). Un grand merci à elle et à toute son équipe !

  • Avatar de Astrid.L
    Astrid.L 06/05/2024 à 08:58
    Note de : 5 / 5

    Le Docteur CLEMENT a fait un travail extraordinaire sans aucune douleur. je la recommande vivement!

  • Avatar de Marie.l
    Marie.l 03/05/2024 à 16:59
    Note de : 5 / 5

    Le cabinet du Dr CLEMENT est le lieu où il faut aller pour retrouver un beau sourire. Les soins sont de grande qualité ainsi que la compétence professionnelle et l'accueil.

  • Avatar de aliyah.k
    aliyah.k 27/03/2024 à 08:11
    Note de : 5 / 5

    je remercie le dr Clement pour son intervention sur mon diastème des deux dents de devant, elle a su répondre à toutes mes questions en me rassurant et en m'expliquant toutes les étapes les unes après les autres. l'équipe est très à l'écoute et sympathique, je ne regrette pas le déplacement de Grenoble. le cabinet a une hygiène irréprochable !

  • Avatar de Rabiha.u
    Rabiha.u 26/03/2024 à 21:54
    Note de : 5 / 5

    Je suis extrêmement satisfaite de l'excellent travail réalisé par Marie Clément et toute l'équipe du cabinet. Leur professionnalisme, leur attention aux détails et leur accueil chaleureux ont rendu ma visite très agréable. De plus, Marie a pris le temps d'expliquer chaque étape de la procédure et sa présence rassurante m'a vraiment mise à l'aise. Je suis ravied du résultat et je recommande vivement ce cabinet. Merci encore pour votre service exceptionnel !

  • Avatar de Aliyah.e
    Aliyah.e 26/03/2024 à 16:40
    Note de : 5 / 5

    Le dr clément a été à l’écoute et rassurante, elle a su me donner toutes les explications et réponses à mes questions, douce dans sa pratique ce fut un moment agréable, je ne regrette pas le déplacement depuis Grenoble . Merci encore à vous et à votre équipe pour m’avoir enlevé mon complex qui me suivait depuis le collège.

  • Avatar de Aude.i
    Aude.i 15/03/2024 à 17:00
    Note de : 5 / 5

    Acceuil et prise en charge exceptionnels! Je suis ravie du resultat! Merci

  • Avatar de Axelle.u
    Axelle.u 23/01/2024 à 15:06
    Note de : 5 / 5

    Je suis venue pour reboucher l’espace entre mes dents du bonheur à l’aide de résine chez la Dre Marie Clément qui m’a tout bien expliqué avant d’intervenir, elle a fait un travail remarquable, résultat très naturel, toute l’équipe est très sympa encore un grand merci je recommande

  • Avatar de Marie-Charlotte.a
    Marie-Charlotte.a 20/01/2024 à 18:04
    Note de : 5 / 5

    Une dentiste qui sait de quoi elle parle ! Je suis ravie du résultat! Tout est vraiment au top Merci 😊

  • Avatar de Mélanie.O
    Mélanie.O 22/12/2023 à 17:24
    Note de : 5 / 5

    Le docteur Marie Clément est très à l’écoute . Elle explique chaque étape de la procédure de manière à rassurer le patient pendant la procédure. Très contente du résultat encore merci pour votre expertise, votre professionnalisme et votre gentillesse.

  • Avatar de Joanna.e
    Joanna.e 20/11/2023 à 17:56
    Note de : 5 / 5

    J'ai fais 150km pour voir le DR CLEMENT et je ne regrette pas un instant. Une équipe qui prend le temps de vous écouter et qui est surtout super sympathique. Je sais à qui confier mon sourire dorénavant.

  • Avatar de Corinne.e
    Corinne.e 16/11/2023 à 18:40
    Note de : 1 / 5

    Ben moi j'attends encore toujours qu'on me rappelle...

  • Avatar de Sylvia.o
    Sylvia.o 16/11/2023 à 13:11
    Note de : 5 / 5

    Cabinet dentaire moderne et exceptionnel : accueil chaleureux par madame Chabrier, professionnalisme, bienveillance et compétence du Dr Clément. Tout est fait pour vous mettre en confiance et les résultats sont incroyables. N’hésitez pas! Encore un grand merci !

  • Avatar de N.I
    N.I 13/11/2023 à 08:29
    Note de : 5 / 5

    Un accueil bienveillant, disponible aux questions. Et surtout un résultat rapide et très satisfaisant.

  • Avatar de Brice.e
    Brice.e 03/11/2023 à 19:17
    Note de : 5 / 5

    Super cabinet très soigneux et pas déçu des attentes annoncées

  • Avatar de Caroline.E
    Caroline.E 05/10/2023 à 15:42
    Note de : 5 / 5

    Très satisfaite à tous les niveaux suite à un blanchiment dentaire. Accueil et suivi personnalisé. Belle équipe à l'écoute et professionnelle. Le top, je recommande!

  • Avatar de Tom.E
    Tom.E 29/09/2023 à 18:19
    Note de : 5 / 5

    Un immense merci au Dr Clément qui a fait des miracles sur les dents de ma fille..à 10 ans elle a eu ses deux incisives brisées , quelques années plus tard elle vient de retrouver son magnifique sourire grâce au Dr Clément .. d une grande gentillesse , très empathique , et magicienne dans la reconstruction ..au delà d un sourire , c est l estime de soi et la confiance que vous lui avez redonner !!! Un grand merci également à vos assistantes et secrétaire qui vous entourent !!

  • Avatar de Samia.e
    Samia.e 29/08/2023 à 11:45
    Note de : 5 / 5

    Je conseille et recommande fortement. Elle m a simplement redonné le sourire. Merci pour l écoute les conseilles la gentillesse. L equipe est formidable. Merci merci mille fois.

  • Avatar de Omar.A
    Omar.A 12/08/2023 à 06:26
    Note de : 5 / 5

    Un grand merci au Dr Clément et à son équipe très professionnelle et à l'ecoute. Notre fille de 15 ans peut sourire sans complexe après la pose de composite pour redonner une jolie forme à 2 de ses dents, le résultat est bluffant ! Bravo

  • Avatar de Joris.
    Joris. 24/07/2023 à 15:45
    Note de : 5 / 5

    Excellent cabinet, très bons conseils, bienveillance et personnel qualifié.

  • Avatar de Eva.h
    Eva.h 06/06/2023 à 09:29
    Note de : 5 / 5

    Très professionnelle, magnifiques résultats merci ! Merci à toute l’équipe vous avez été au top.

  • Avatar de myriam.a
    myriam.a 05/06/2023 à 18:50
    Note de : 5 / 5

    Un immense merci au Dr Marie Clement et à son équipe, pour leur professionnalisme et leur gentillesse. J'étais un peu terrorisée par la pose de 10 facettes, la durée des séances, l'anesthésie. Tout s'est passé à merveille, le Dr Clement effectuant des gestes précis mais très doux et prenant le temps d'expliquer ce qu'elle fait. Le cabinet est magnifique, décoré avec goût. L'équipe est aux petits soins envers les patients. Le résultat est au-delà de mes attentes, je suis enchantée. Je vais enfin pouvoir recommencer à sourire de manière naturelle et sans cacher mes dents. Je recommande +++++++

  • Avatar de AJOUD.a
    AJOUD.a 16/05/2023 à 13:41
    Note de : 5 / 5

    Un grand merci au docteur Marie Clément ainsi qu’à son équipe pour leur écoute et leur professionnalisme. Le docteur est à l’écoute, rassurante, avec des gestes doux. Vous aurez également le droit à une petite musique de fond pendant vos soins (très agréable) 😊Je suis TRES TRES satisfaite du résultat et ne m’attendait pas à autant. Je peux dès à présent sourire sans complexe. Concernant le cabinet, rien à y redire : très propres, et très bien décorés. Je vous recommande à 1000% le docteur Marie Clément.

  • Avatar de Valerie.r
    Valerie.r 06/05/2023 à 13:28
    Note de : 5 / 5

    Après tout ce que l’on voit sur les réseaux il y a de tout pour se faire blanchir les dents ! J’ai choisi Marie clément d’une part grâce aux avis car faut pas se mentir cela compte quand c’est pour de l’esthétisme, et d’autre part car après le premier rdv elle m’a convaincu. Le cabinet est très professionnel. L’accueil et le service impeccables. L’équipe est adorable . Pour le résultat ,j’ai gagné plus de 4 teintes je suis très contente ! Niveau prix le budget est abordable . Je recommande donc vraiment ce cabinet dentaire +++

  • Avatar de Thomas.U
    Thomas.U 04/05/2023 à 12:15
    Note de : 5 / 5

    Je suis ravi de mon éclaircissement dentaire réalisé par le docteur Marie CLEMENT, j’ai gagné 5 teintes sur chaque dent, le résultat reste naturel et éclatant. L’accueil était parfait, toujours avec le sourire et les explications du traitement étaient claires, je recommande sans hésiter !

  • Avatar de Laëtitia.
    Laëtitia. 20/04/2023 à 18:06
    Note de : 5 / 5

    Merci au Dr Clément et à son équipe pour leur accueil et leur professionnalisme. Notre fille est ravie. Le résultat est parfait, très naturel. N’hésitez pas…

  • Avatar de Sabrina.a
    Sabrina.a 20/04/2023 à 11:45
    Note de : 5 / 5

    Un grand merci au Docteur Clément pour son excellent travail et son accueil si bienveillant. Elle a réalisé à la perfection une erosion infiltration pour restaurer le sourire sur un enfant. Nous reviendrons les yeux fermés.

  • Avatar de Gouliardon.v
    Gouliardon.v 28/03/2023 à 09:49
    Note de : 5 / 5

    Personnel très agréable et très professionnel. Travail soigné pour un résultat final parfait.

  • Avatar de Hélène.
    Hélène. 24/03/2023 à 17:16
    Note de : 5 / 5

    Je viens de terminer mes soins chez le Dr Marie Clément et les mots me manquent tant je suis satisfaite de son travail. C'est une vraie professionnelle, toujours calme, à l'écoute et d'une très grande maîtrise. Elle est entourée d'une super équipe. Le résultat est bluffant, adieu les complexes d'un sourire disgracieux. Vraiment un grand merci.

  • Avatar de Richard.e
    Richard.e 14/03/2023 à 09:47
    Note de : 5 / 5

    S'il existe des lieux pour lesquels le voyage est incroyable, alors n'hésiter surtout plus, et aller à la clinique du sourire du Dr Clément. Complexer par un sourire disgracieux à quelques mois de mon mariage, j'ai porter ma confiance en cette professionnelle du sourire, réputée pour ces doigts de fée. Du premier rendez-vous, au résultat final tout fut parfait. Une équipe à l'écoute, et d'une bienveillance toute particulière. Un cabinet dans le 6eme arrondissement de Lyon, ou la sérénité et le calme nous mettes en totale confiance. Des photos de départ, en, passant par le blanchiment, jusqu'au rendez vous final de comblement des diastèmes, tout fut parfait. J'ai également eu la possibilité de pouvoir régler en plusieurs fois ces soins, non pris en charges par ma complémentaire santé. Alors un immense merci, et surtout, je vous conseil cette clinque sans aucune modération qui mérite amplement ces 5 étoiles.

  • Avatar de Nazan.U
    Nazan.U 04/03/2023 à 13:04
    Note de : 5 / 5

    C'est un budget (fermeture des espaces) Mais un travail minutieux qui donne un magnifique résultat. Merci encore pour tout !

  • Avatar de Houda.o
    Houda.o 28/02/2023 à 21:20
    Note de : 5 / 5

    Je vous recommande, sans aucunes hésitations, le Docteur Clément. Elle est juste exceptionnelle. C'est une artiste. Elle est très très douée dans son domaine. Gentille, agréable, à l'écoute, extrêmement douce dans ses gestes, elle a su redessiner mon sourire quand d'autres professionnels me disaient que c'était impossible. Son cabinet est apaisant. Je pense qu'elle aime bien les plantes...il y en a plein dans la salle d'attente, ce qui donne une ambiance apaisante, on s'y sent bien. Cabinet très bien équipé également. Les membres de son équipe: secrétaires, assistantes dentaires, sont vraiment très sympas, professionnels et disponibles. Aucunes de mes interrogations n'a été laissées en suspens. J'ai toujours été recontacté soit par mail soit par téléphone pour obtenir des réponses. J'aurais aimé poussé les portes de ce cabinet beaucoup plus tôt...alors pour celles et ceux qui cherchent un professionnel digne de ce nom, spécialisé dans l'esthétique du sourire, croyez en mon expérience, c'est ici qu'il faut s'adresser.

  • Avatar de Claudine.l
    Claudine.l 21/02/2023 à 16:59
    Note de : 5 / 5

    Récemment j'ai consulté le Docteur Marie CLEMENT pour le remplacement de 4 facettes dont je n'étais absolument pas satisfaite. Lors des différents rendez-vous, la prise en charge par l'ensemble de son équipe a été exemplaire. J'avais beaucoup d'appréhension pour la dépose des anciennes facettes, mais je n'ai eu aucune douleur. Le Docteur Marie CLEMENT est très à l'écoute, elle rassure, elle conseille, c'est une grande professionnelle que je vous recommande vivement. Je tiens à la remercier pour le travail effectué et surtout pour m'avoir redonné le sourire!

  • Avatar de Laurène.e
    Laurène.e 10/02/2023 à 12:00
    Note de : 5 / 5

    Je suis plus que satisfaite du résultat. Dr Clément et son équipe sont très professionnels vous pouvez y aller les yeux fermés

  • Avatar de Francisci.l
    Francisci.l 02/02/2023 à 15:49
    Note de : 5 / 5

    Professionnelle très accueillante et perfectionniste, je recommande à 100% les services de ce cabinet !

  • Avatar de Marie.u
    Marie.u 13/01/2023 à 15:13
    Note de : 5 / 5

    En tous points parfait. Gentillesse et professionnalisme sont au rendez-vous. Merci Docteur de m’avoir rendu mon sourire!

  • Avatar de Gregory.u
    Gregory.u 09/01/2023 à 08:14
    Note de : 5 / 5

    Bonjour Cécile Je voulais remercier le docteur Marie clément pour le travail qu'elle ma fait !!! Au delà du professionnalisme,je ressent la passion de son travail! Et de son écoute et sa bienveillance à chaque rdv . Mais sans oublier que tout cela est un travail d'équipe et le premier contact c'est avec vous Cécile. Merci à vous toute . Au plaisir de se croiser !!!!!! Cdt mR queste

  • Avatar de Florence.d
    Florence.d 19/12/2022 à 14:01
    Note de : 5 / 5

    Beaucoup de professionnalisme et d'écoute au sein du cabinet du Dr Clément. Mon parcours pour la pause de facettes fut encadré de bout en bout pour un résultat incroyable! Le Dr Clément et son équipe ont été très à l'écoute de mes besoins, mes exigences ainsi que mes appréhensions liés au traitement. Le Dr Clément est une professionnelle qui fait preuve de beaucoup de maîtrise mais aussi de beaucoup de douceur lors de ses interventions.

  • Avatar de harold..
    harold.. 30/11/2022 à 21:28
    Note de : 5 / 5

    Excellent accueil de toute l'équipe ! Hygiène plus qu'exceptionnelle. Très bonnes explications du Dr Clément. Résultat parfait et jamais 1 minute de retard aux différents rdv. Petit plus : la salle d'attente est sublime. Bravo

  • Avatar de Sarah.
    Sarah. 10/11/2022 à 14:57
    Note de : 5 / 5

    Après un traitement orthodontique, le Dr Clément a finalisé les soins avec excellence. Voici une liste non exhaustive de ce qui vous attend au cabinet : professionnalisme, perfection, bienveillance, écoute, réactivité... Un grand merci à vous trois !

  • Avatar de Alban.s
    Alban.s 11/10/2022 à 09:03
    Note de : 5 / 5

    Le Dr Clément est très à l'écoute des besoins et m'a proposé une solution idéale pour un résultat magnifique. Merci à elle et à son équipe.

  • Avatar de Clara.
    Clara. 30/09/2022 à 18:14
    Note de : 5 / 5

    Vous pouvez y aller les yeux fermés ! J’ai fais une érosion infiltration et tout s’est très bien passé je suis plus que satisfaite du résultat mes dents sont blanches et la tache qui me complexait tant n’est plus là ! Un grand merci pour votre accueil et votre professionnalisme

  • Avatar de Antoine.a
    Antoine.a 14/09/2022 à 16:01
    Note de : 5 / 5

    Si les cabinets dentaires pouvaient être classés comme les hôtels alors j'attribuerai un 5 étoiles à celui du Docteur Clément, voir même la distinction de palace. L'accueil est irréprochable, le cabinet est agencé et décoré avec beaucoup d'élégance ce qui vous met dans un état de confiance total. Rien n'est laissé au détail. Le docteur est très très agréable et professionnel. La collaboration avec ses assistantes est faite dans la plus grande discrétion. Le travail et surtout le résultat est irréprochable. On parle souvent d'expérience, celle-ci en est une de haut vol.

  • Avatar de Estelle.a
    Estelle.a 07/09/2022 à 06:43
    Note de : 5 / 5

    Cabinet dentaire propre et design doté d'un grand professionnalisme avec en prime un très bon accueil. Le Dr Clément est le seul dentiste qui a bien voulu traiter ma fille et le résultat est impeccable. Elle est très douce avec les enfants. Un grand merci!

  • Avatar de Ingrid.a
    Ingrid.a 05/09/2022 à 14:37
    Note de : 5 / 5

    Très bien accueillie, de très bons conseils et surtout un résultat incroyable. Merci pour tout !

  • Avatar de Famille.e
    Famille.e 07/07/2022 à 20:21
    Note de : 5 / 5

    Équipe très professionnelle et à l’écoute de ses patients. Résultat exceptionnel me concernant. Merci beaucoup

  • Avatar de Lecomte.
    Lecomte.� 14/06/2022 à 19:28
    Note de : 5 / 5

    Traumatisée à la suite de mon accident, j'ai été très bien accueillie et rassurée. Cabinet très propre et moderne. Gentillesse et professionnalisme de la part de toute l'équipe, on se sent tout de suite en confiance. Après des soins qui auront duré plus d'un an au global, je suis très satisfaite du résultat. Merci à toute l'équipe de m'avoir rendu mon sourire !

  • Avatar de Lucille.o
    Lucille.o 10/06/2022 à 14:13
    Note de : 5 / 5

    Un travail d'une très grande qualité de la part du Docteur Clément et de l'ensemble de son équipe. Accueil, accompagnement et suivi irréprochables. Je recommande très fortement !

  • Avatar de Pac.a
    Pac.a 01/06/2022 à 12:41
    Note de : 5 / 5

    Si vous êtes à la recherche d’une praticienne pour embellir votre sourire, avec pour passion le souci du détail, et le travail bien fait, le Docteur Clément et ses équipes sont faites pour vous. A chaque étape du processus vous êtes accueilli, suivi et mis dans les meilleures conditions possibles pour la réussite de votre projet. C’est sans retenue que je vous recommande expressément l’Esthétique du Sourire de Marie Clément .

  • Avatar de Charlotte.p
    Charlotte.p 31/05/2022 à 10:25
    Note de : 5 / 5

    Une très très bonne surprise de découvrir le Dr Marie Clément après des années d'échec de traitement dentaire et de sourire affreux. Je suis absolument ravie et vous remercie pour votre gentillesse, votre professionnalisme et votre flexibilité pour me permettre d'avoir un beau sourire avant l'été et la saison des mariages ! Un traitement que d'autres refusaient de faire ne se sentant pas en capacité de le réaliser. Je suis rassurée d'avoir été suivie par une dentiste alliant excellence scientifique & technique et professionnalisme. Très honnête sur les possibilités de réalisation et ne poussant absolument pas à l'acte. Je suis très satisfaite d'avoir finalement un résultat vraiment naturel et incroyablement bien réalisée esthétiquement (quand d'autres me proposaient des facettes sur la moitié des dents!). Un grand merci à l'équipe.

  • Avatar de Coralie.E
    Coralie.E 26/05/2022 à 17:59
    Note de : 5 / 5

    J'ai effectué des soins au sein du cabinet du Dr Marie Clément et j'en suis vraiment ravie. J'ai apprécié l'accueil chaleureux au sein de la structure ainsi que l'accompagnement bienveillant tout au long du traitement. Chaque étape m'a été parfaitement expliqué, les doutes et appréhensions se sont rapidement envolés. Le résultat final est à la hauteur de mes attentes grâce à un travail minutieux et parfaitement exécuté. Je tiens à remercier toute l'équipe du Dr Marie Clément, pour leur professionnalisme, leur écoute et leur disponibilité.

  • Avatar de Bourgeois.y
    Bourgeois.y 23/05/2022 à 12:59
    Note de : 5 / 5

    Accueil au top et professionnalisme. Je recommande vivement ce cabinet

  • Avatar de Raphael.e
    Raphael.e 20/05/2022 à 20:56
    Note de : 5 / 5

    Une très belle expérience pour un éclaircissement. Résultat conforme à mes attentes. Excellent accueil et un grand professionnalisme.

  • Avatar de Celine.o
    Celine.o 16/05/2022 à 14:53
    Note de : 5 / 5

    Très très contente du résultat. Le Dr Clément et son équipe sont très professionnelles, gentilles, rassurantes, bienveillantes, répondent à toutes les questions et apportent de nombreux conseils. Rien à redire, tout est parfait ! Cabinet et salle d’attente très propre et très bien décorée Je recommande sans hésiter !

  • Avatar de Warda.L
    Warda.L 15/04/2022 à 14:48
    Note de : 5 / 5

    Une vraie découverte sur les avancées de l'esthétique dentaire. Un service de très grande qualité et une vraie écoute. Mais surtout un sourire qui fait la différence grâce au professionnalisme du Dr Clément et de son équipe. Et à chaque fois, le sourire à l'accueil !

  • Avatar de JJ.
    JJ. 15/04/2022 à 11:47
    Note de : 5 / 5

    Tout est parfait, de l’accueil à la prise en charge par le docteur Clément. Les soins sont de qualité et le suivi également.

  • Avatar de Romane.h
    Romane.h 07/04/2022 à 10:23
    Note de : 5 / 5

    Le docteur Clément ainsi que tout son personnel sont bienveillants et d'une grande gentillesse. De plus, le résultat est identique aux attentes. Je vous remercie encore pour votre travail de qualité.

  • Avatar de Julien.u
    Julien.u 04/04/2022 à 13:03
    Note de : 5 / 5

    Le Dr. Clément m'a posé 8 facettes et ce fut une superbe expérience. Tout d'abord, le résultat est top, je me sens enfin libre de sourire sans me poser de questions ou essayer de dissimuler mes dents. Ensuite, l'équipe est vraiment top, professionnelle et humaine. On se sent vraiment accompagné pendant tout le process. Je recommande vivement ce cabinet et encore merci à vous 3.

  • Avatar de Jrm.w
    Jrm.w 18/03/2022 à 20:46
    Note de : 5 / 5

    Je suis allé chez le docteur Marie Clément pour un blanchiment des dents avec gouttières à porter la nuit pendant environ 4 semaines. Je recommande le docteur et son équipe les yeux fermés ! - Le cabinet est propre et très agréable - L' assistante qui s'occupe de l'accueil des patients est très chaleureuse et de bons conseils - Le Docteur est à l'écoute, efficace, et connait parfaitement son métier - Les résultats ont été au-delà de ce qui avait été prévu à l'origine - Le traitement est simple mais il faut s'engager pour le faire correctement (4 semaines sans café ça vaut le coup ! ) Un grand merci au Docteur et à toute l'équipe !

  • Avatar de Steph.r
    Steph.r 15/03/2022 à 13:59
    Note de : 5 / 5

    Très satisfaite des soins apportés par le Dr Clément et de mon nouveau sourire!

  • Avatar de Joy.u
    Joy.u 01/01/2022 à 16:51
    Note de : 5 / 5

    Réalisation de 6 facettes dentaire , très satisfait du résultat je recommande a 100% !! Duc Jimmy

  • Avatar de Céline.m
    Céline.m 15/12/2021 à 15:47
    Note de : 5 / 5

    Encore merci pour votre professionnalisme et votre gentillesse. Je suis plus que ravie du résultat et je recommande ce cabinet à 100%.

  • Avatar de Jean-Charles.a
    Jean-Charles.a 28/11/2021 à 17:52
    Note de : 5 / 5

    Grande compétence et disponibilité du Dr Clément et de toute son équipe

  • Avatar de Constance.
    Constance.� 26/08/2021 à 07:14
    Note de : 5 / 5

    La bienveillance et la gentillesse de toute l'équipe du docteur Marie Clément n'ont d'égal que son professionnalisme hors pair. Après de gros travaux dentaire le résultat est tout simplement bluffant, elle et son assistante Ramla ont réussi à me rendre un sourire plus vrai que nature ! Vous trouverez rarement une dentiste aussi compétente, ayant une maîtrise aussi pointue en matière d'esthétique dentaire. Un immense merci à Cécile également pour son accueil chaleureux, attentionné et à l'écoute de vos besoins. Merci encore à toutes les trois, je profite désormais tout les jours de mon nouveau sourire grâce à vous !

  • Avatar de Marine.o
    Marine.o 23/07/2021 à 11:28
    Note de : 5 / 5

    Je recommande à 100% et les yeux fermé Docteur Marie Clément a toute personne qui souhaite refaire son sourire. Je sors à l'instant de ma dernière séance et me voilà avec le plus beau des sourires. Elle a réalisé un travail incroyable, pris le temps de répondre à mes questions et elle a su me mettre en confiance. Elles ont également avec toute la gentillesse et la bienveillance de son équipe su me rassurer et me conseiller de la meilleur des manières. Je remercie le docteur Marie Clément, Ramla et Cécile pour leur travail.

  • Avatar de Love.o
    Love.o 23/06/2021 à 15:55
    Note de : 5 / 5

    Vous trouverez rarement une chirurgienne dentiste aussi talentueuse et professionnelle. Après un accident de surf, qui aurait pu me faire perdre ma dent, le Dr Clément a su minutieusement reconstruire mon sourire en prenant soin de le faire paraître le plus naturel possible. Son travail, tant il est de qualité, a par ailleurs été loué par de brillants professeurs de facultés dentaires, qui pensaient que l'auteur de ma chirurgie avait plus d'une trentaine d'années d'expérience en la matière... Pour vous donner une idée du talent du Dr Clément. Merci encore pour votre compétence !

  • Avatar de Lola.a
    Lola.a 22/04/2021 à 14:51
    Note de : 5 / 5

    J'ai confié l'éclaircissement de mes dents au Docteur Marie Clément. Je suis émerveillée à la fois par les résultats du traitement, l'accueil qui m'est réservé au cabinet, et le professionnalisme dont toute l'équipe fait preuve, que ce soit avant pendant ou après le traitement : un pur plaisir !

  • Avatar de Ge.a
    Ge.a 09/03/2021 à 21:23
    Note de : 5 / 5

    Je remercie chaleureusement le Docteur Clément pour le magnifique travail qu’elle a effectué dans ma bouche, pour me donner un sourire naturel et qui me corresponde, après une première expérience ratée chez un dentiste inexpérimenté. Je suis vraiment enchantée du résultat. Quel bonheur d’oser sourire à pleines dents ! Je remercie le docteur Clément, ainsi que son assistante et sa secrétaire, pour leur disponibilité, leur gentillesse, leurs explications et leur professionnalisme. Je me suis sentie en totale confiance du début à la fin. Je suis vraiment heureuse d’avoir confié mon sourire à ce cabinet, que je vous recommande vivement.

  • Avatar de Eleonore.A
    Eleonore.A 26/01/2021 à 20:44
    Note de : 5 / 5

    D'une douceur et d'une compétence sans égales !

  • Avatar de Clo.g
    Clo.g 15/12/2020 à 19:57
    Note de : 5 / 5

    Je remercie le Dr CLEMENT ainsi que son assistante et sa secrétaire pour leur gentillesse, leur douceur, leur professionnalise, leur patience.. Je la recommande vivement !

  • Avatar de Boussayna.k
    Boussayna.k 15/12/2020 à 03:18
    Note de : 5 / 5

    Je tiens à remercier chaleureusement le Dr Clément qui a été si professionnelle et bienveillante. Le traitement m’a été expliqué en détails, étape par étape, de sorte que je n’ai ressenti aucune appréhension au moment de son application. Et le résultat a été plus qu’à la hauteur de mes attentes! Je tiens également à remercier son assistante, ainsi que sa secrétaire avec qui j’ai échangé à plusieurs reprises avant mon rendez-vous et qui a toujours été à l’écoute. Je recommande ce cabinet, vous pouvez y aller les yeux fermés.

  • Avatar de Pauline9287..
    Pauline9287.. 12/12/2020 à 19:30
    Note de : 5 / 5

    J'ai consulté le Dr Clément après plusieurs avis de chirurgiens-dentistes concernant l'usure très prononcée de mes dents (originellement déjà de petites tailles et de plus en plus usées par le bruxisme). Le Dr Clément et ses collaborateurs ont donc réaliser un plan de réhabilitation complet sur mesure (25 dents) en préservant au maximum mon capital dentaire. Etape par étape, j'ai pu retrouver des dents de taille naturelle et une occlusion confortable. L'ensemble des personnes rencontrées au cours du traitement ont été très compétentes, rassurantes et patientes. Merci beaucoup à toute l'équipe pour ces nouvelles dents et ce nouveau sourire !

  • Avatar de berangere.o
    berangere.o 04/11/2020 à 20:50
    Note de : 5 / 5

    Mieux qu’un dentiste, une artiste du sourire! Quelle minutie et quel savoir faire.... le résultat est bluffant pourtant d’autres ont essayé mais c’était incomparable. Merci pour tout. Merci aussi à son assistante ainsi qu’à sa secrétaire qui nous réserve à chaque fois un accueil des plus chaleureux. Je recommande mille fois

  • Avatar de emmanuelle.o
    emmanuelle.o 09/10/2020 à 19:17
    Note de : 5 / 5

    Le docteur Clément m'a posé des facettes sur les 2 incisives et le résultat est tout simplement parfait et du premier coup. Je suis ravie ! De plus Marie Clément est douce et très professionnelle. Je remercie également son assistante et sa secrétaire. On est très bien accueilli. Encore merci à toutes les 3.

  • Avatar de Antony.a
    Antony.a 06/06/2020 à 10:00
    Note de : 5 / 5

    J'ai poussé la porte du cabinet du Docteur Clément sur les conseils d'une autre dentiste, qui me recommandait de tenter la 3-step technique, suite à des usures très prononcées et généralisées, qui me rendaient la mastication très pénible et qui allaient me conduire à perdre la fonction rapidement. Par ailleurs, j'étais complexé depuis mon adolescence par mes dents de devant. Je ne pensais pas que j'allais aussi bien tomber. Je me suis senti comme un véritable patient, très pris en charge par l'ensemble de l'équipe du Docteur Clément, du début à la fin de cette réhabilitation importante (plus de 10 RDV répartis sur 6 mois, la quasi-totalité des dents concernées). Entre écoute, diagnostic, pédagogie sur les méthodes de réhabilitation, prises de photos/vidéos, modélisation, essais de validation, processus clairs, corrections et ajustements... tout est fait avec un grand professionnalisme, une grande bienveillance, et le sourire ! Chaque séance est expliquée, chaque geste est précisé à chaque étape, le Docteur Clément avertit sur les sensations que l'on risque de ressentir ... et son équipe permet d'avoir une totale complémentarité à la fois sur les gestes opératoires et sur la gestion du dossier (accueil, RDV, administratif, gestion du paiement, ...). Ces soins m'ont ainsi redonné toute la fonctionnalité de mes dents ainsi que le sourire :-). Je recommande vivement le Docteur Clément et son équipe !

  • Avatar de antoine.u
    antoine.u 16/03/2020 à 15:08
    Note de : 5 / 5

    Complexé par mes dents depuis toujours je me suis décidé à prendre rendez vous. Travaillant dans le secteur du luxe, je fus impressionné par la grande qualité de l’accueil et de l’information dès le premier contact. Je me suis dit « la note va être salée ». Rien de tout cela, le prix est tout à fait normal pour ce genre d’intervention et le résultat le mérite amplement. Cette équipe a su me rassurer et est restée disponible tout au long du processus. Aujourd’hui je souris à pleine dents. Il est évident que je reviendrai et que je conseille cette équipe. Encore merci.

  • Avatar de Lilas.O
    Lilas.O 14/02/2020 à 07:46
    Note de : 5 / 5

    Le Docteur CLÉMENT me suit depuis plusieurs années maintenant et nous venons de terminer un traitement sur l’ensemble de mes dents du haut, qui étaient très usées et me complexaient jusqu’à présent. Je revis ! Tout s’est bien passé, vous pouvez vous laisser porter par cette équipe en toute confiance, à la fois très professionnelle, à l’écoute et très humaine. Si c’était à refaire, je n’hésiterais pas une seconde.

  • Avatar de francoise.r
    francoise.r 30/01/2020 à 15:47
    Note de : 5 / 5

    J’ai poussé la porte de ce cabinet sur la recommandation de mon dentiste. Je tiens particulièrement à remercier le Dr Clement et son équipe dévouée Vous avez su faire preuve de bienveillance, d’humanité, de douceur, d’une grande compétence professionnelle et m’avait redonné un très joli sourire (pose de 6 facettes) Vous pouvez vous en remettre à son cabinet en toute confiance

  • Avatar de Radia.u
    Radia.u 06/01/2020 à 22:20
    Note de : 1 / 5

    Accueil horriblement désagréable. Je déconseille

  • Avatar de Gabriela.U
    Gabriela.U 08/08/2019 à 00:27
    Note de : 5 / 5

    J’ai était très bien accueillie ça reste l’une de mes plus belles expériences avec Marie ainsi que toute l’équipe 🙏 😁

  • Avatar de Fatima.o
    Fatima.o 06/08/2019 à 09:31
    Note de : 5 / 5

    Je recommande le dr clement et son équipe (assistante, secrétaire, prothésiste) à 100 %. Elle a effectué un formidable travail sur moi de facettes dentaires avec pour difficulté l'intégration d'une couronne au milieu. Le résultat est très naturel et des plus satisfaisant dû à son travail méticuleux et son professionnalisme. Elle est aussi très douce et explique de manière précise les différentes étapes nécessaires au résultat final. Le tout dans une ambiance décontractée de part un fond musical très apaisant. Encore un.grand merci.

  • Avatar de VICTOR.A
    VICTOR.A 25/06/2019 à 10:58
    Note de : 5 / 5

    Le docteur Clément a effectué sur moi une érosion-infiltration. Dès mon arrivée, j’ai pu constater son impeccable professionnalisme de par l’accueil et la propreté au sein du cabinet. En terme de soin, Marie Clément a été exceptionnellement claire par ses explications avant intervention. Aucune douleur ressentie, beaucoup de patience, d’élégance et un résultat plus qu’à la hauteur de mes espérances. Je recommande vivement cet endroit.

  • Avatar de Chloé.e
    Chloé.e 17/06/2019 à 21:44
    Note de : 5 / 5

    Le docteur Clément a beaucoup de talent, les soins prodigués sont juste parfaits ! Merci pour votre attention et votre professionnalisme. Je recommande absolument le docteur Marie Clément et son assistante Ramla!

  • Avatar de Nej.e
    Nej.e 09/06/2019 à 10:06
    Note de : 5 / 5

    Que dire si ce n’est que j’ai découvert une dentiste aux qualités humaines indéniables, pleine d’écoute, de bienveillance et de délicatesse à l’égard de ses patients. J’ai tout comme vous le faites actuellement lu les nombreux avis élogieux qui font l’unanimité et ils m’ont convaincu à débuter mes soins auprès du Docteur Clément. Malgré la distance (Dijon) et la fréquence de mes rendez-vous, le Docteur Clément et Ramla son adorable assistante ont toujours fait en sorte d’adapter mes rendez vous en fonction de mes contraintes géographiques et professionnelles. Le Docteur Clément de part la qualité de ses soins, ses gestes d’une rare précision, et son perfectionnisme a su répondre à mes attentes tant au niveau des soins que de l’esthétisme de mon sourire. Elle a su œuvrer pour que mon sourire demeure le plus harmonieux et naturel possible. Le résultat est au rendez-vous pour ma part. Quant à son cabinet est magnifiquement agencé et décoré, il s’y dégage une sérénité très appréciable qui vous met instantanément en confiance. Sincèrement, je ne peux que louer et recommander les services du Docteur Clément et de son équipe. Nejma EB

  • Avatar de janet.t
    janet.t 09/06/2019 à 08:33
    Note de : 5 / 5

    Je suis ravie du résultat. Mes facettes me donnent un nouveau sourire vraiment naturel et parfaitement accordé à ma personne. Quel savoir - faire technique! J ' ajoute que le cabinet est magnifique et que l' accueil y est parfait .Merci à Dr.Clément et son équipe.

  • Avatar de Océane.U
    Océane.U 26/03/2019 à 21:31
    Note de : 5 / 5

    Le docteur Clément est très professionnelle et d'une grande délicatesse : tres apprécié chez un dentiste Je recommande sans hésitation

  • Avatar de patricia.a
    patricia.a 26/03/2019 à 10:31
    Note de : 5 / 5

    En ce qui me concerne je suis totalement satisfaite par les soins que le docteur Clément m’a prodiguée avec énormément de douceur et d empathie Grâce à son professionnalisme et son perfectionnisme j’ai aujourd’hui un sourire donc je suis très fière 😁 De plus le cabinet est splendide On y est chouchoute par une assistante très sympathique

  • Avatar de Tess.a
    Tess.a 26/03/2019 à 10:23
    Note de : 5 / 5

    J'ai été grandement satisfaite tant par la qualité des soins que le contact humain du docteur Marie Clément, sans oublier son assistante ! De plus le cabinet est magnifique.

  • Avatar de Marie.i
    Marie.i 25/03/2019 à 18:16
    Note de : 5 / 5

    Professionnelle très attentive et à l'écoute de sa patientèle. Très agréable

  • Avatar de Jedonne.o
    Jedonne.o 24/03/2019 à 20:25
    Note de : 1 / 5

    Aucune patiente avec les patients. Prend mal les choses quand on lui dit que cela ne nous plaît pas. Se braque facilement, aucune compréhension des attentes du patient. Facilité à faire comprendre à son patient qu'il l'agace. Évitez si vous êtes exigent d'un travail de qualité quand c'est coûteux.

  • Avatar de Salomé.t
    Salomé.t 24/02/2019 à 11:28
    Note de : 5 / 5

    Le docteur Clément est une véritable professionnelle de l'esthétique dentaire ! Elle est à l'écoute, conseille beaucoup et explique toujours ce qu'elle va faire durant les rdv ! Son travail est impressionnant : naturel, esthétique et toujours en adéquation avec nos volontés ! Je recommande à 100% !

  • Avatar de Alexia.E
    Alexia.E 20/02/2019 à 19:12
    Note de : 5 / 5

    Docteur Marie Clément a embellit mon quotidien avec la réalisation de mes facettes, encore Merci !

  • Avatar de Juliette.e
    Juliette.e 17/02/2019 à 21:11
    Note de : 5 / 5

    Le Dr Clément est d'un professionnalisme incomparable. Elle m'a soignée pour deux dents de devant dévitalisées, en me posant des facettes. Le résultat est parfait ! Je la recommande sans la moindre hésitation !

  • Avatar de Anne.
    Anne. 09/02/2019 à 12:59
    Note de : 5 / 5

    Le Dr Clément est une très grande professionnelle qui possède à la fois tous les pré requis techniques et a le sens de la relation humaine. Mon projet était d'envergure, le résultat est magnifique et bluffant ! L'équipe qui l'accompagne est à son image. Vous pouvez y aller en toute confiance.

  • Avatar de Jean-Philippe.e
    Jean-Philippe.e 04/05/2017 à 12:51
    Note de : 5 / 5

    Le docteur Marie-Clément 👩🏻‍⚕️ est spécialisée dans la chirurgie esthétique dentaire. Je ne peux que louer son professionnalisme à travers son expertise, ses conseils ainsi que son suivi tout au long du traitement. Je recommande vivement ses soins pour ceux qui cherchent à retrouver leur sourire naturel. Son cabinet doit-être ce qu'il se fait de mieux actuellement sur Lyon. 😉 Merci également au docteur Mme Floriane Perrillat-Collomb qui me l'a conseillé ! 👏🏻

  • Avatar de Patrick.a
    Patrick.a 28/02/2016 à 18:50
    Note de : 5 / 5

    Excellente dentiste très qualifiée, sympathique, toujours le sourire ! Personnelelement je n'aime pas trop aller chez le dentiste mais le dr Clément est patiente et très à l'écoute et m'a proposé un traitement global ce que je cherchais depuis longtemps. De plus, Le cabinet et très beau et très agréable Essayez, vous l'adopterez!

  • Avatar de Stéphane.a
    Stéphane.a 27/01/2016 à 17:23
    Note de : 5 / 5

    Dentiste très sympa, super qualité de soins, lieu top, je recommande

Ajouter un avis :

Veuillez completer le formulaire ci-dessous.

Votre note :

Color Switcher